Gingival Surgeries

To cure Gum diseases such as gingivitis and periodontitis

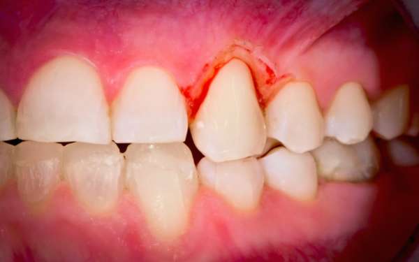
Image Description

Gum diseases such as gingivitis and periodontitis may require surgical treatment.

Gingivitis is a mild form of gum disease that can cause gum redness, swelling, and bleeding. Most often, gingivitis occurs due to poor oral hygiene, plaque, and tartar buildup. Professional treatment can reverse the condition.

Periodontitis is a more severe form of gum disease in which gingivitis has worsened and advanced, leading to an inflammatory response that destroys bone and tissues.

During this inflammatory process, the gums begin to separate from the teeth. This causes spaces called pockets to develop, which in turn trap bacteria and lead to infection.

As a result, tooth loss and bone damage can occur.

The procedure aims to treat the gum disease and any damage it may have caused by

  • Regrowing damaged bones and tissues
  • Preventing tooth loss
  • Reducing gum gaps between teeth, known as black triangles
  • Reshaping the jaw hone to lower the risk for bacterial growth in bone crevices
  • Eliminating bacteria and infection