Orthodontics

Image Description

Braces

Braces are dental tools that help correct problems with your teeth, like crowding, crooked teeth, or teeth that are out of alignment.

Image Description

Habit Breaking Appliances

Habit can be defined as a fixed or constant practice established by frequent repetition.

Image Description

Myofunctional Appliances

Myofunctional appliances are those appliances in orthodontics, which take help from the muscles to act on the desired treatment plan.

Image Description

Fixed Functional Appliances

Functional appliances have been used since the 1930s. Despite this relatively long history, there continues to be much confusion relating to their use

Image Description

Retainers

A retainer keeps your teeth from moving after they’ve been straightened with braces.

Image Description

Obstructive Sleep Apnea

Obstructive sleep apnea is the most common sleep-related breathing disorder. It causes you to repeatedly stop and start breathing while you sleep.

Pediatric Dentistry Services

Image Description

Preventative Dentistry

Preventive dentistry is the practice of caring for your teeth to keep them healthy. This helps to avoid cavities, gum disease, enamel wear, and more.

Image Description

Pulpectomy

A Pulpectomy is defined as a root canal procedure for pulp tissue that is irreversibly infected or necrotic as a result of caries or traumatic injury.

Image Description

Conscious Sedation

Pediatric conscious sedation, sometimes referred to as oral sedation, is often poorly understood by both dentists and patients.

Image Description

General Anesthesia

To keep your child safe and comfortable during a dental procedure, your child’s dentist might decide to use general anesthesia in the operating room.

Image Description

Retainers

A retainer keeps your teeth from moving after they’ve been straightened with braces.

Image Description

Anterior Aesthetics

Milk teeth have specific role to play in children. The front teeth are one of the first teeth to erupt in your childs mouth.

Image Description

Space Maintainers

Space maintainers are orthodontic appliances used in pediatric dentistry. The main function of these devices is to manage premature baby tooth loss.

Image Description

Dental Traumatology

Traumatic dental injuries are a public dental health problem worldwide and can occur throughout life.

Image Description

Infant Oral Care

All of us know dental care is important for everyone, but what about baby teeth? Baby teeth are already inside your child's jaws at birth.

General Dentistry

Image Description

Root Canal Treatment

Root canal treatment is designed to eliminate bacteria from the infected root canal, prevent reinfection of the tooth and save the natural tooth.

Image Description

Implants

Dental implants are replacement tooth roots. Implants provide a strong foundation for fixed (permanent) or removable replacement teeth that are made to match your natural teeth.

Image Description

Scaling and Polishing

Scaling and polishing, also commonly known as teeth cleaning, is one of the most basic dental treatments.

Image Description

Smile Designing

Smile Design Treatment is a cosmetic treatment that focuses on improving the appearance of your smile through certain procedures.

Image Description

Wisdom Tooth Extraction

Wisdom tooth extraction is a surgical procedure to remove one or more wisdom teeth — the four permanent adult teeth located at the back corners of your mouth on the top and bottom.

Image Description

Gingival Surgeries

Gum diseases such as gingivitis and periodontitis may require surgical treatment.

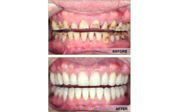
Image Description

Full Mouth Rehabilitation

Full mouth reconstruction refers to rebuilding and/or replacing all of the teeth in a patient’s mouth.